언론보도 언론보도 언론보도 언론보도 언론보도 언론보도
언론보도 언론보도 언론보도 언론보도 언론보도 언론보도
언론보도 언론보도 언론보도 언론보도 언론보도 언론보도
언론보도 언론보도 언론보도 언론보도 언론보도 언론보도
언론보도 언론보도 언론보도 언론보도 언론보도 언론보도
언론보도 언론보도 언론보도 언론보도 언론보도 언론보도
언론보도 언론보도 언론보도 언론보도 언론보도 언론보도
언론보도 언론보도 언론보도 언론보도 언론보도 언론보도
ORTHODONTICS

이라인치과 교정 센터

김태원 원장

김태원 원장

세계투명교정학회 초대회장

프로필 ›
01 CLEAR ALIGNER

티 안 나게 교정하는
투명교정

투명교정장치는 우유병 재질의 인체 무해한 탄성소재 폴리머를 이용한 교정장치입니다. 환자 스스로 장착, 탈거가 가능하기 때문에 식사 중 그리고 대화 중 장치를 손쉽게 뺄 수 있습니다.

착용 가이드

하루 착용시간: 17시간

약 7시간은 장치를 탈거할 수 있습니다

※ 적용 안내: 상태에 따라 선택적으로 적용 가능하며, 적용이 어려운 케이스도 있습니다.

투명교정 장치 착용 투명교정 장치

해당 환자는 이라인치과 김태원원장이 직접 진행하였습니다.
투명교정 시술 시, 개인에 따라 부작용이 발생할 수 있으므로,
이는 의료진의 충분한 상담을 통해 문제점을 예방하고 최소화할 수 있습니다.

어린이 미소
02 YOUTH ORTHODONTICS

성장기에 시작하는
소아 및 청소년 교정

소아 및 청소년 시기는 성장이 활발하게 일어나는 시기로 뼈와 근육 그리고 치아의 발육이 가장 왕성한 시기입니다.

BEST TIME

교정 적정 시기 8~10세

교정의 적정시기는 8~10세라고 보고되어 있습니다. 성장기에 교정을 시작하면 골격 성장을 유도하여 더 좋은 결과를 얻을 수 있습니다.

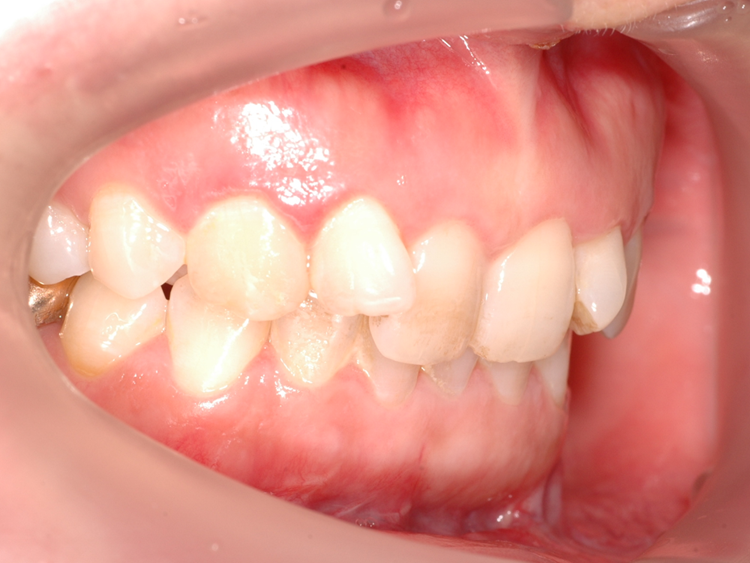
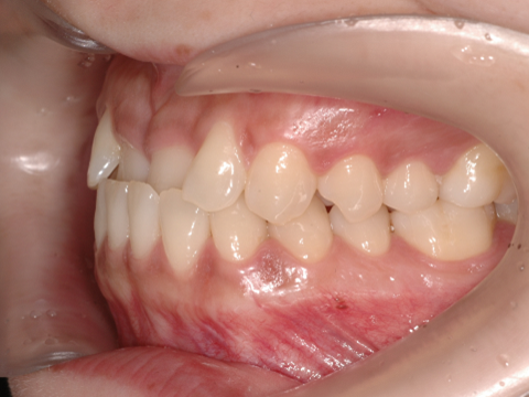
03 ADULT ORTHODONTICS

기능과 심미를 동시에
성인교정

성인은 뼈, 근육 및 치아의 성장이 완료된 시기로서 치아의 위치이동을 통하여 안모 및 저작기능을 개선시켜야 하는 연령입니다. 특히 미용적인 목적이 강조되는 경우가 많습니다.

비발치 교정법

치아를 발치하지 않고 교정

발치 교정법

상태에 따라 선택적 적용

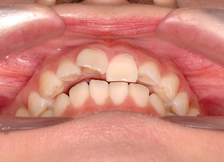
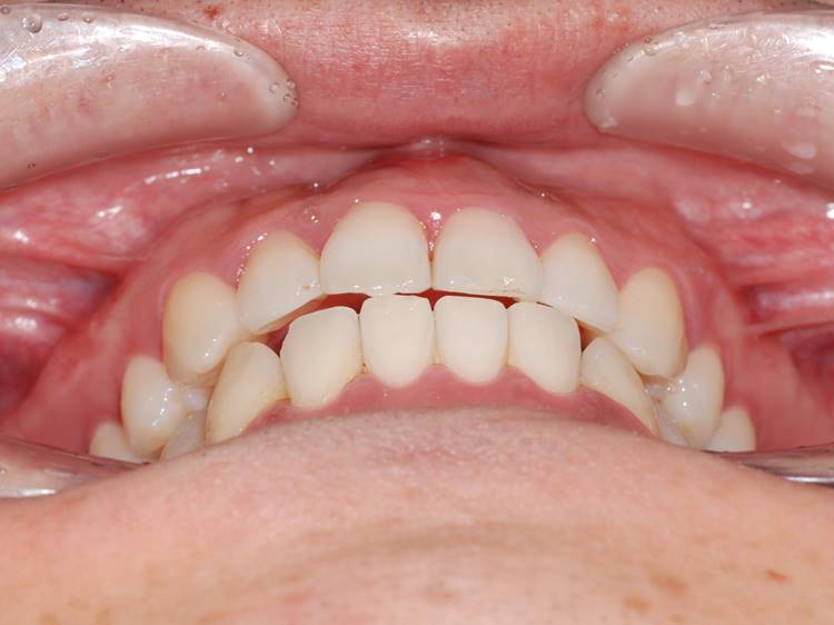
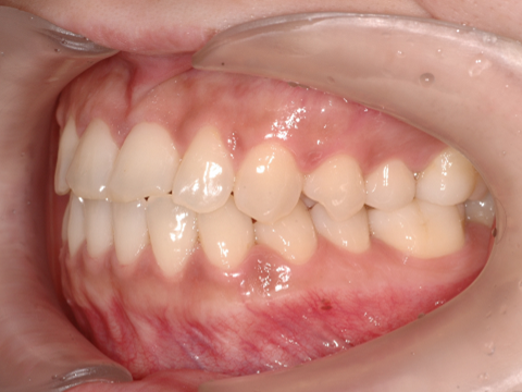
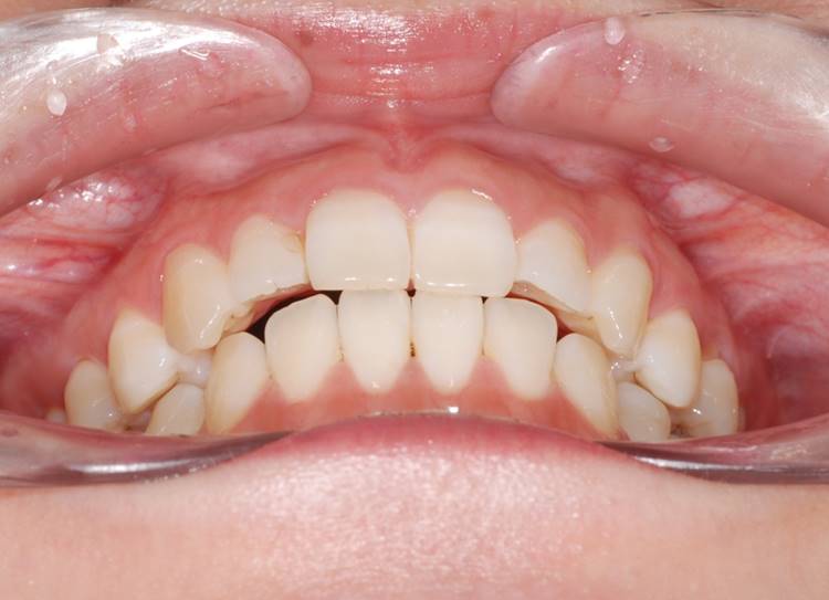
성인교정 전후
Before
After

성인의 앞니의 각도 및 위치를 조정하면 발치없이 심미적 개선이 가능함

해당 환자는 이라인치과 김태원원장이 직접 진행하였습니다.
투명교정 시술 시, 개인에 따라 부작용이 발생할 수 있으므로,
이는 의료진의 충분한 상담을 통해 문제점을 예방하고 최소화할 수 있습니다.

04 SENIOR ORTHODONTICS

치주 건강을 지키는
중장년 교정

중장년 이상의 연령대는 치아의 마모가 발생되고 전반적인 치주상태가 저하된 연령시기입니다. 치아의 이동은 최소화하여 치주 및 치조골의 건강도를 그대로 유지시키는 것이 무엇보다도 중요합니다.

E-line 중장년 교정 원칙

최소한의 치아이동

치주 및 치조골 건강 유지

부담을 줄인 안전한 교정

중장년 교정
REAL CASES

실제 치료 사례

모든 치료전후 사진은 원장이 직접 진료한 실제 환자사진입니다

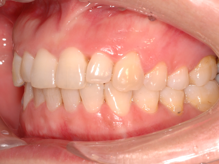
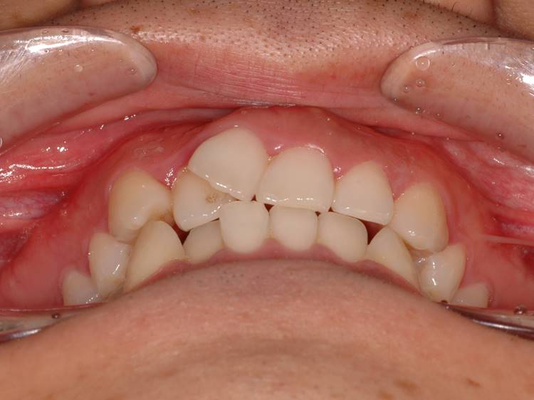
CASE 01

자연스러운 미소 개선

Before 2025-06-02
After 2025-07-13

2012년 4월(치료전)부터 2012년 10월(치료후)까지 직접 진료한 환자사진입니다.

CASE 02

안면 조화 교정

Before 2025-06-02
After 2025-07-13

2012년 2월(치료전)과 2012년 12월(치료후)의 비교사진입니다.

CASE 03

치열 부조화 개선

Before 2025-06-02
After 2025-07-13

치료전 2009년 5월(치료전)부터 2010년 1월(치료후)까지 의 비교사진입니다.

CASE 04

교합 및 치열 교정

Before 2025-06-02
After 2025-07-13

치료전(2006년 12월)부터 치료후(2007년 9월)의 비교사진입니다.

CASE 05

고난도 교정 사례

Before 2025-06-02
After 2025-07-13

치료전 1999년 4월(치료전)부터 2000년 1월(치료후)까지 의 비교사진입니다.

CASE 06

심미적 기능 개선

Before 2025-06-02
After 2025-07-13

치료전 2001년 7월(치료전)부터 2002년 3월(치료후)까지 의 비교사진입니다.

해당 환자는 이라인치과 김태원원장이 직접 진행하였습니다.
투명교정 시술 시, 개인에 따라 부작용이 발생할 수 있으므로,
이는 의료진의 충분한 상담을 통해 문제점을 예방하고 최소화할 수 있습니다.

3D Digital Analysis

과학적인 정밀 교정치료

  • 3D 최첨단 진단 프로그램
  • FDA 승인 정품 재료 사용
  • 26년 교정 경력의 숙련도
  • 50,000건 이상의 누적 임상 데이터를 통해 가장 이상적인 미소를 찾아드립니다.

※ 모든 치료전후 사진은 원장이 실제로 진료한 환자사진이며, 동일 조건에서 촬영되었습니다.

Consultation

교정 상담 예약

26년 경력의 교정 전문의가 1:1 맞춤 상담을 진행합니다.

예약하기